Equine Kissing Spines
What Every Rider and Carer Needs To Know
Mary Frances BHSII & BHS.SM
Moorcroft Equine Rehabilitation Centre
Much has been written and is now known about this unfortunate skeletal back problem that many horses suffer from. Many believe that backing young horses without preparing their thoracic spine to have the strength to carry the weight of the rider can start this condition, badly fitting saddles, long exhausting rides on a back that is not strong enough to carry the rider for that long are all scenarios that may not help but some Kissing Spines are also caused from an hereditary situation and therefore
breeding from a mare that cannot be ridden due to Kissing Spines may not be a good plan. This condition can cause years of pain and discomfort in a horse, but much can be done to manage the pain and to prevent the condition worsening over time.
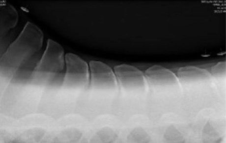
The spinal processes that grow up from the vertebrae in the thoracic spine (just under the saddle) should have gaps between them so that the horse can:
- Laterally %ex its spine on a turn, for example, and therefore move freely with no pain
- Lift its thoracic spine so that it can posture itself in a way that will enable the horse to carry the rider with ease and without pain, breakdown or tightness.
The x-rays below show no gaps in places, so every time this particular horse, has a rider's weight on those areas shown, are asked to turn on a circle or work or simply just carry a rider they probably will feel quite a bit of pain and therefore will show signs of that pain.

The symptoms of Kissing Spines are wide and varied but the following are regularly seen by horses suering from this painful condition and should not be ignored or put down to behaviour. Horses are incredibly stoic, forgiving and non-complaining and will try to do what we ask if they can.
- Shying away from the saddle when presented.
- Reacted badly when saddle is put on the back.
- Reacting badly to the girth being tightened.
- Unhappy to carry the weight of the rider, dropping away from the weight.
- Arching badly and ‘humping’ or bucking
- Running away from the rider’s weight
- Working in a very hollow outline, above the bit
- Reluctance to go forward
- Never building any muscle on the thoracic spine despite work
- Pain in the thoracic spine and tightness
- Referred sacro-iliac joint pain
Ruling out Kissing Spines is very easy – A set of x-rays will give you the answer you need, but use an experienced vet who can
read the images well and who will understand that the vertebral bodies below the Kissing Spine area (called Facet Joints) also
need to be looked at to eliminate any doubt of pain from this part of the spine too.
There are plenty of good vets about, so seek one out if you are being fobbed off. If you feel that YOUR horse has a back problem when you ride them, they probably have, and you deserve to find out your options.
Managing the Condition

The diagram shows that if we encourage our horses to work in this posture shown above then the stretch of the cervical spine, i.e. the neck will lift and separate the spinal processes in the back where we sit and place our saddle. Please see diagram. If the horse was to work with his/her head very high, then he would be closing the spinal processes in on themselves causing them to touch and rub and creating what we call Kissing Spines. More importantly that negative posture will actively shorten and damage the all-important ligaments and muscles that we need to build in strength and maintain an ability to stretch and be flexible over the thoracic spine.
Building as much muscle over the thoracic spine where we sit is essential to prevent Kissing Spines from progressing.
Ensuring that you always have a very good fitting saddle that never restricts the area or causes any pressure or tightness is very important.
Always feeding hay in the stable from the floor as many hours of posturing the back down and the head up to locate hay from a hay net or a hayrack, half way up the wall will not help at all.

Warming your horse up before ridden work will help ensure blood supply is not lacking in the thoracic area which will help.
Regular physiotherapy by a qualified experienced physiotherapist is essential so you can track your horses’ progress in this area.
Injecting the area (by your Vet) with P.R.P. and or other painkilling drugs will help, and this may need repeating in the future. Good veterinary advice is important.
Seeking help from a good Vet and a good Physiotherapist
Spending time long reining your horse without a rider on his/her back in order to create this posture and to develop muscle and good muscle habit easily will really build a foundation of good habits for your horse which we find at the centre can really help to manage the condition and or prevent it.

The main advantage of the long-reining means you are not on a permanent circle which damages joints, backs and necks and on the long reins you truly have an opportunity to make many straight lines which can be very helpful during the rehabilitation phase of Kissing Spines.
Short quality sessions are very helpful. Tiring the horse out or creating fatigue will not build the muscle but will strain the joints and the back.
Mary Frances BHSII & BHS.SM
Kissing Spines - Helping Identification
| Back Assessment | Straightness | Contact | Impulsion & Purity of Gaits | Happy? |
|---|---|---|---|---|
| Perfect Spine | Spine well aligned under saddle and rider - easy to ride straight with little resistance and/or quarters swinging | Ability to stretch through thoracic spine when ridden or long-reined. Light and pliable in the contact, flexible, soft and working easily and willingly on the bit, even for novice riders | Plenty of impulsion when asked for. No unwanted tension through transitions and no running out of balance. | A happy horse. Easy to mount and handle and consistent in their behaviour. |
| Slightly dipped or weak back - minor impingement of spinal processes | At times this will feel difficult to completely achieve and as the impulsion increases, the straightness will feel more difficult to obtain. | The contact will not be as even as it should be and the neck flexion will begin to be difficult especially at the beginning of the work. Real stretching may be inconsistent. | As the rider asks for more impulsion, the horse will probably run a little or try to hollow slightly and feel difficult to continue smoothness in sitting trot. | A little unhappy at times and not as consistent as a thinking, feeling rider would like it to be. Have the confidence to ask for help before things get worse. |
| Kissing Spines | This will be difficult to obtain consistently and the horse will resist your efforts - it will always favour being crooked and is now starting to strain its sacroiliac joint as it guards the thoracic spine area causing more tightness and problems for the rider. | This can be very snatchy - i,e, difficult for the rider to keep a consistent feel on the reins where the horse will feel the need to snatch and is by now compensating through its cervical spine (neck) as they guard their thoracic against the pain and discomfort of carrying their rider and having to work. Stretching will be difficult some days or may only feel as it happens from the withers forward and not through the whole back. | This will be more difficult to obtain when the riders is on board but often easier on the long-reins - time to take note of this and seek help. Again, hollowing will occur, crookedness and resistance. | Some days more unhappy than others – not consistent – longissimus dorsi (main muscle in the back) will go into spasm more somedays than others. If it’s a mare she will be called ‘mar-ish’ or hormonal – if it’s a gelding - you'll hear all sorts of excuses. |
| Bad well established Kissing Spines | Never really truly possible | Hard, unyielding, resistant and attempts to encourage roundness will be resisted through the jaw, neck and obviously the back. Often very snatchy. Head shaking often starts at this stage – running to the tack shop for a different bit will not help! | Very difficult to obtain consistently. Some horses will run from the leg and the rider feels out of control and others will just not go forward and show real inability to give any smoothness in transitions . Bucking may occur especially at the beginning of the work and should not be ignored and labelled as ‘full of character’ Severe or mild dropping of the thoracic spine may occur when rider gets on | An unhappy horse that does not work consistently well, is not easy to mount safely and calmly and will show bad behaviour when rider is on board particularly when asked for any engagement. At this stage the horse can feel like a ‘time bomb’ to ride due to pain and muscle spasm and is often referred by those who don’t know as cold-backed. |

